Smile Gallery

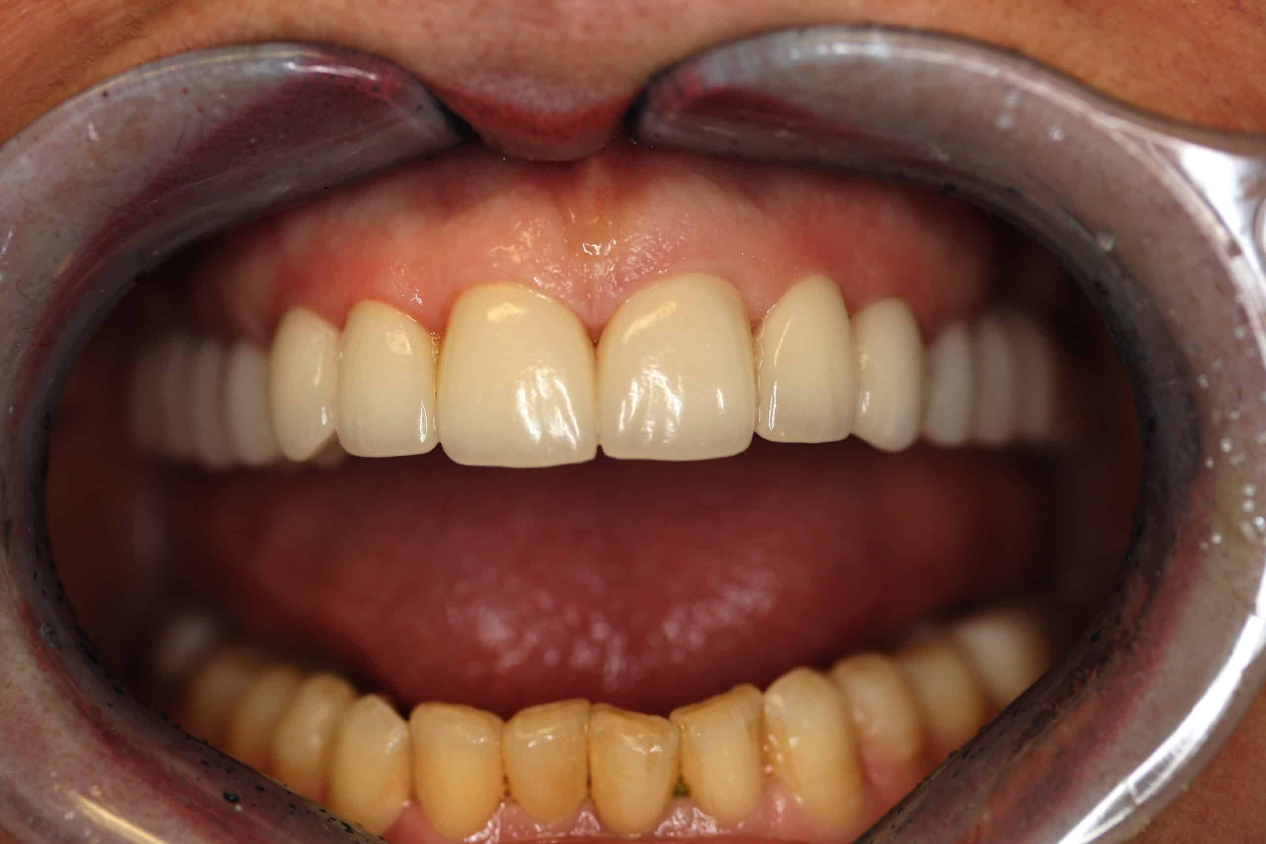
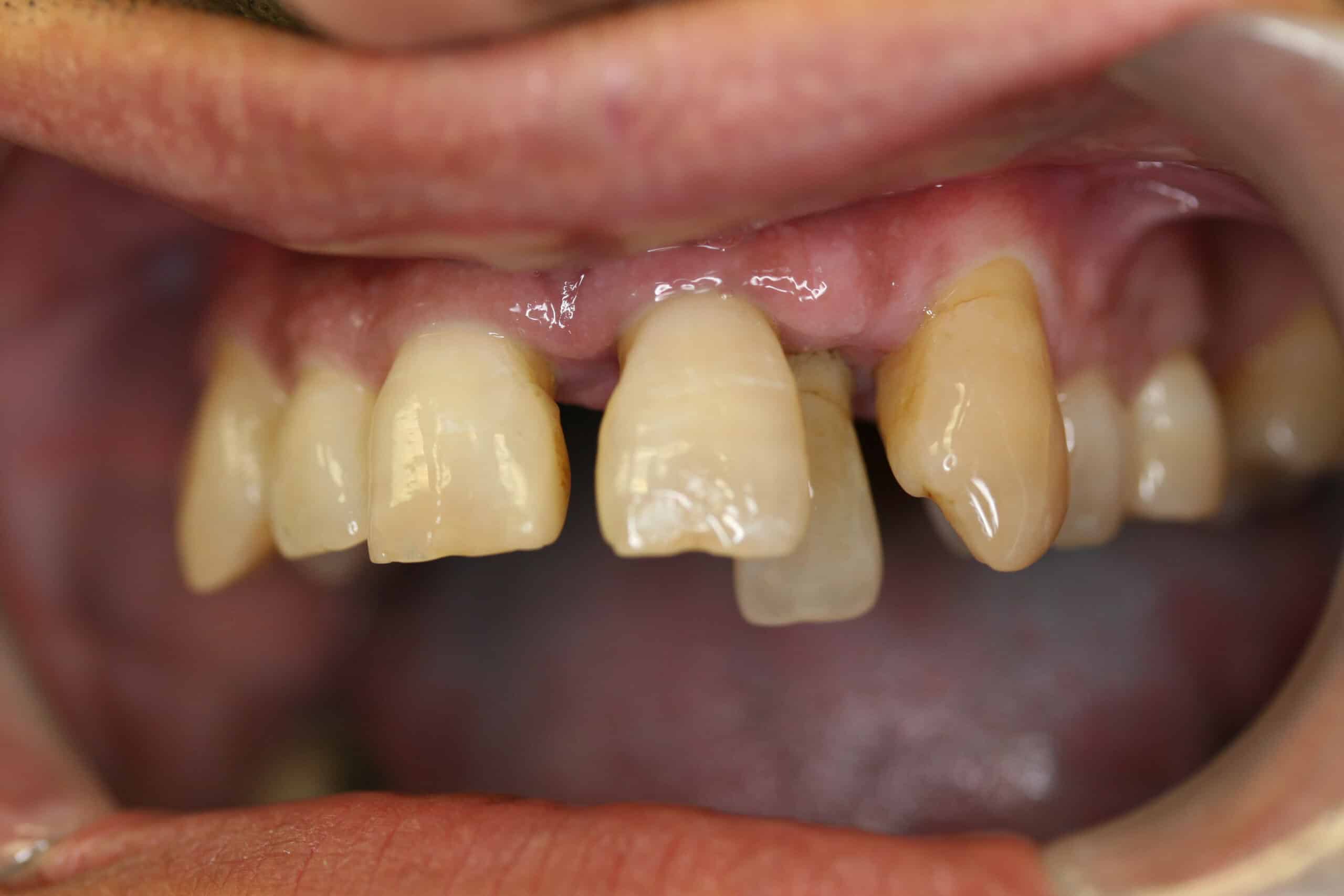
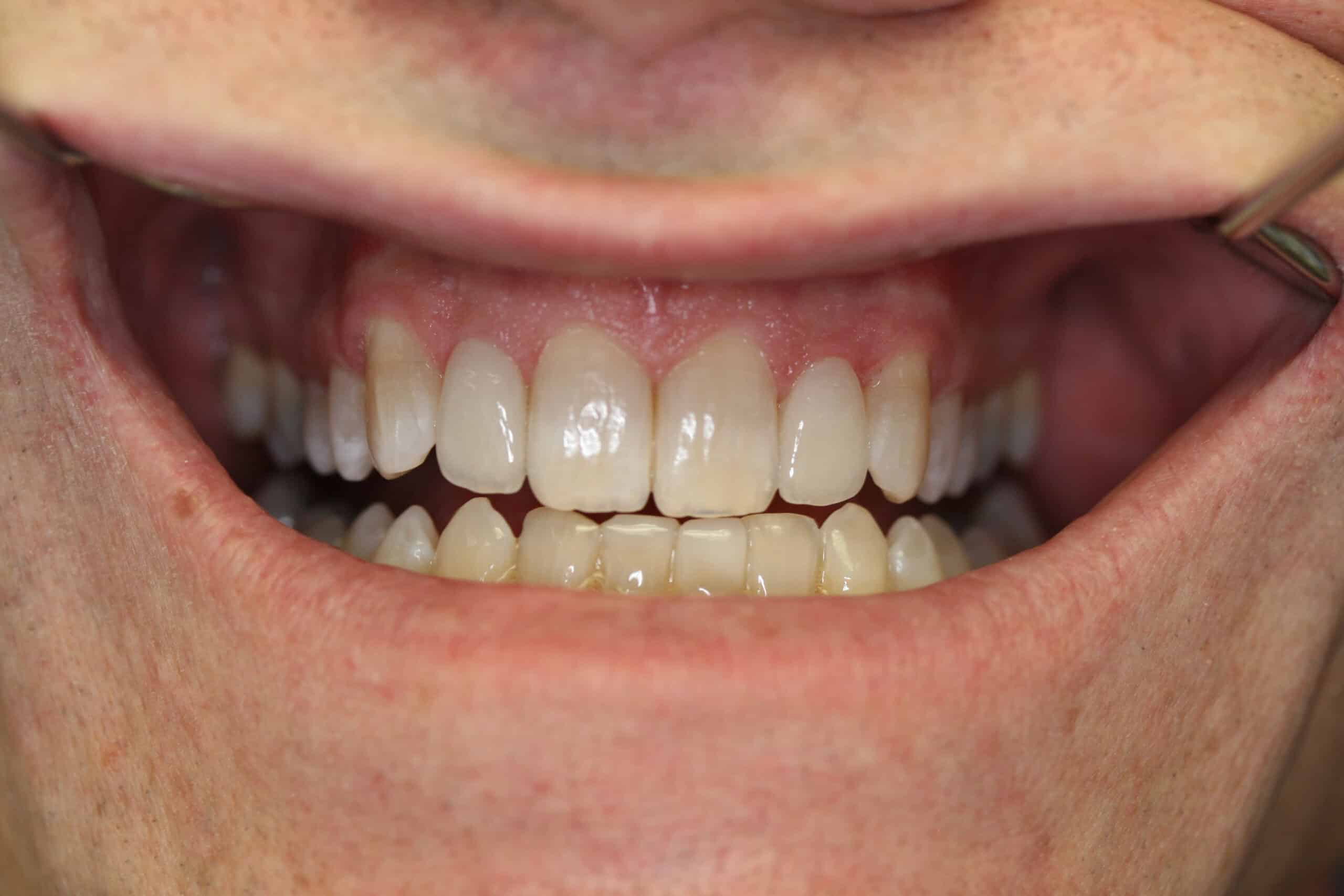
Veneer Treatment

Veneer Treatment

Veneer Treatment

Veneer Treatment

Veneer Treatment

Implant and Crown Restoration

Veneer Treatment

Request Consultation